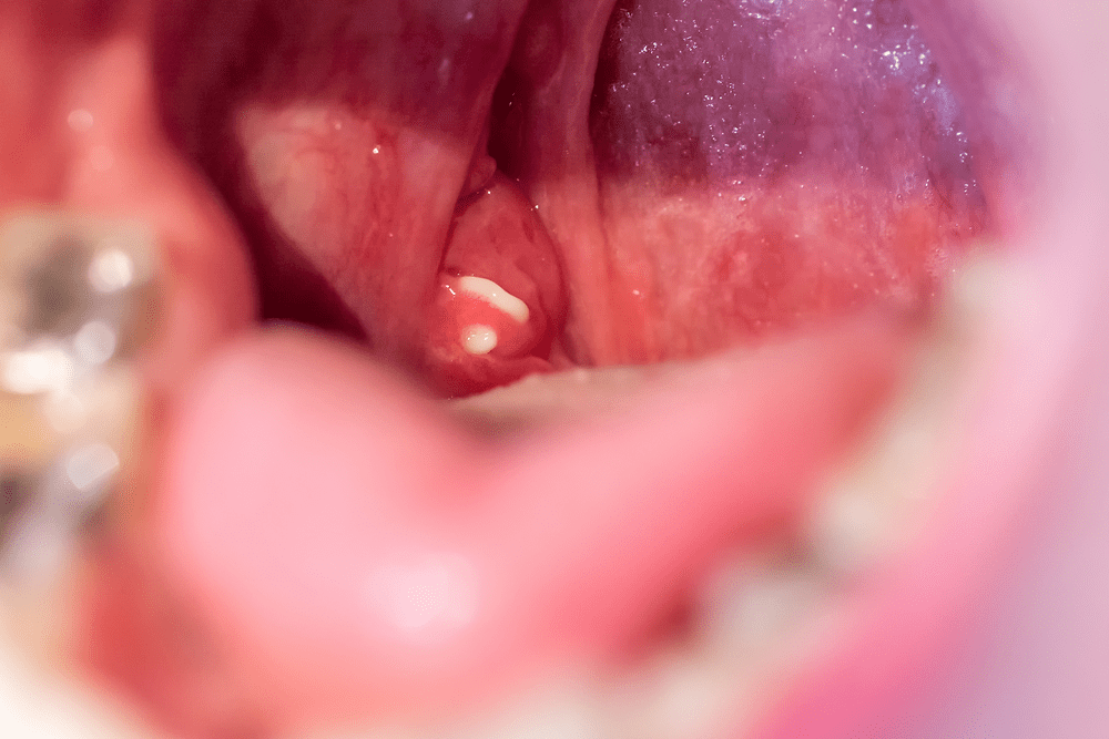
Imagine opening your mouth wide in front of a mirror, only to spot those tiny, white lumps nestled in the back of your throat. They look harmless at first glance, but then comes that unmistakable, foul odor—like rotten eggs mixed with old cheese—that hits you square in the face. You’ve probably wondered if it’s just bad breath or something more sinister lurking in your tonsils. These “little white stones” aren’t rare; millions deal with them quietly, often without knowing why they appear or how to banish that embarrassing smell. But what if understanding their secrets could freshen your life in ways you never expected? Stick around as we dive deep into this hidden oral enigma. You’ll discover surprising truths that might just transform your daily comfort.

Have you ever felt a persistent tickle in your throat that no cough drop can fix? Those small, smelly white stones, known as tonsil stones or tonsilloliths, form when debris like food particles, dead cells, and mucus trap in the crevices of your tonsils. Research shows they affect up to 10% of adults, often going unnoticed until the odor becomes overpowering.
The real kicker? That bad smell stems from bacteria breaking down the trapped material, releasing volatile sulfur compounds—think of it as a mini compost pile in your mouth. This can lead to chronic halitosis, making social interactions awkward and self-confidence plummet. But why do they keep coming back, and what hidden risks do they pose?
Left unchecked, tonsil stones might contribute to recurring sore throats or even ear pain, as irritation spreads. Studies indicate larger stones can cause swallowing difficulties, turning meals into ordeals. Ever worry if they’re a sign of something worse? You’re not alone—many dismiss them, but ignoring could mean missing early clues to better oral health. Ready to peel back the layers?
The Sneaky Origins of Tonsil Stones
Tonsils, those almond-shaped guardians at the back of your throat, have natural pockets called crypts. When these fill with everyday debris, calcification occurs, forming stones. But here’s a twist: poor oral hygiene or dry mouth can accelerate this process, turning a minor issue into a smelly nightmare.
Chronic sinus issues or post-nasal drip add fuel, dripping more mucus into the mix. Did you know dehydration plays a role too? Less saliva means less natural rinsing, letting bacteria thrive. But wait, there’s more to uncover about how your habits invite these intruders.
Why the Foul Odor Hits Hard
That pungent smell isn’t random—it’s science. Bacteria like anaerobes feast on proteins in the debris, producing hydrogen sulfide and other gases. One study from the Journal of Clinical Microbiology found these compounds mirror those in severe bad breath cases.
Imagine chatting with friends, only to see them subtly lean away. This odor can linger despite brushing, affecting 85% of tonsil stone sufferers per surveys. Curious how to break this cycle? The answers lie ahead.

Hidden Impacts on Your Daily Life
Beyond breath, stones can irritate tonsil tissue, leading to inflammation. This might explain that nagging throat discomfort after eating. Research suggests links to tonsillitis flares, though not always direct.
Feeling fatigued from poor sleep due to coughing? It’s a chain reaction. But don’t stop here—discovering management strategies could ease these burdens. What if small changes brought big relief?
Now, let’s countdown the top 8 potential benefits of addressing tonsil stones early. Each reveals a layer of improvement, backed by insights and real stories. But remember, these are general observations—consult a professional for your situation.
- Fresher Breath That Boosts Confidence Picture Sarah, a 52-year-old teacher, who avoided parent meetings because her breath betrayed her despite mints. She discovered tonsil stones after a routine check. Studies show that removing debris can reduce sulfur compounds by up to 50%, per oral health research. Sarah felt empowered, smiling freely in class. You might think it’s just cosmetic, but fresher breath opens doors to better interactions. Imagine reclaiming your social spark—could this be your turning point? But hold on, the next benefit dives deeper into comfort.
- Reduced Throat Irritation for Easier Days John, 48, a busy salesman, endured constant scratching in his throat, mistaking it for allergies. Turns out, stones were the culprit, irritating tissues as noted in ENT journals. Gentle rinsing habits might soothe this, with many reporting less discomfort. The sensory relief—no more gritty feel when swallowing—can make meals enjoyable again. Ever wondered why some days feel scratchier? Addressing this could smooth your routine. Yet, something even more surprising awaits.
- Potential for Fewer Ear Aches You wake up with a dull ear throb, blaming the weather. But for some, like in case studies, tonsil stones refer pain via shared nerves. A review in Otolaryngology–Head and Neck Surgery highlights this connection. Managing stones might lessen these episodes, offering unexpected quiet in your ears. Feel that subtle pressure? It could be linked. But wait, the health ripple effects get broader.
- Improved Swallowing Without Discomfort Swallow a sip of coffee, and ouch—that’s the reality for many with larger stones. Research indicates they can obstruct slightly, per dental associations. Simple hydration and hygiene might ease this, turning swallowing from a chore to effortless. Recall that last tough bite? Relief could be closer than you think. And the next reveal? It’s about overall wellness.
- Better Sleep from Less Coughing Nighttime coughs disrupt rest, leaving you groggy. Stones can trigger this by irritating airways, as seen in sleep studies. Reducing them might quiet those hacks, leading to deeper slumber. Imagine waking refreshed—doesn’t that sound invigorating? You may doubt it’s related, but evidence suggests otherwise. Hang tight for more.
- Enhanced Oral Hygiene Awareness Learning about stones spotlights overlooked habits. Surveys show 70% improve brushing after awareness. This could prevent other issues like cavities. Think of it as a wake-up call for your mouth’s ecosystem. Ready for a shift? The following benefit ties into vitality.
- Possible Reduction in Recurrent Infections Frequent tonsillitis? Stones might harbor bacteria, per microbiology findings. Clearing them could lower risks, though not guaranteed. Feel that cycle of soreness? Breaking it might restore balance. But the ultimate game-changer is next.
- A Life-Changing Sense of Control Over Your Health Meet Lisa, 55, who battled embarrassment for years until addressing her stones transformed her outlook—from anxious to assured. Studies emphasize empowerment through knowledge. This “aha” moment could ripple into broader well-being, making you proactive. Isn’t reclaiming control the biggest win? But there’s more to explore in solutions.

Everyday Triggers You Might Overlook
Certain foods like dairy can increase mucus, feeding stone formation. Dry environments or smoking exacerbate dryness. Adjusting these might help, but how?
Post-nasal drip from allergies adds layers. Managing allergies could indirectly reduce stones. Intrigued? Let’s connect the dots to action.
Science-Backed Insights on Formation
Tonsils trap pathogens, but crypts vary in depth—deeper ones snag more debris. A study in the American Journal of Rhinology found genetic factors play a role.
Bacteria like Streptococcus thrive here, calcifying material. Understanding this demystifies the process. But what about prevention strategies?
| Component | Tonsil Stones | Normal Tonsil Tissue |
|---|---|---|
| Main Makeup | Calcified debris, bacteria, mucus | Lymphoid cells, protective layer |
| Odor Source | Sulfur compounds from bacterial breakdown | None typically |
| Potential Benefits of Management | May reduce irritation and odor | Maintains immune function |
| Common Misconceptions | Always require surgery | Naturally self-cleaning |
This comparison highlights why stones stand out— they’re not part of your tonsils’ design.
Safe Steps to Consider
Start with hydration: Drink plenty of water to flush debris naturally. Gentle gargling with salt water might dislodge small ones, as suggested in home remedy reviews.
Use a soft toothbrush or water flosser on low—avoid aggressive poking to prevent injury. For John from earlier, this routine eased his sales calls.
You might think surgery is the only fix, but most cases resolve without it. Always check with a doctor first.
| Step | How to Do It | Safety Notes |
|---|---|---|
| Daily Gargle | Mix 1 tsp salt in warm water, gargle twice daily | Avoid if throat is inflamed; stop if irritation worsens |
| Hydration Boost | Aim for 8 glasses of water per day | Monitor for overhydration signs like frequent urination |
| Oral Tools | Use water flosser on gentle setting | Consult dentist before use; not for children |
| Professional Check | Visit ENT if persistent | Essential for personalized advice |
These guidelines emphasize caution—tailor to your needs with expert input.

Wrapping Up: Don’t Miss Out on Fresher Days
Ignoring tonsil stones might mean enduring that foul smell, throat woes, and missed confidence boosts forever—what a shame when simple awareness could change that. Remember the fresh breath, reduced irritation, and empowered control we explored? You hold the power to investigate further.
Take charge today: Schedule that check-up and share this with a friend who might need it. Who knows, you could spark their “aha” moment too.
P.S. Did you know some find relief from probiotic lozenges? A quirky fact—bacteria balance might just be the underrated hero.
This article is for informational purposes only and is not a substitute for professional medical advice—readers are encouraged to consult their healthcare provider for personalized guidance.