Have you ever looked in the mirror, smiled, and wished your teeth looked just a little brighter? It’s not vanity—it’s human. Your smile is the first thing people notice, and over the years, it can become dulled by coffee, tea, red wine, or even natural aging. The surprising part is that some everyday kitchen items, like an eggshell, may hold secrets that can help your smile look whiter in minutes.

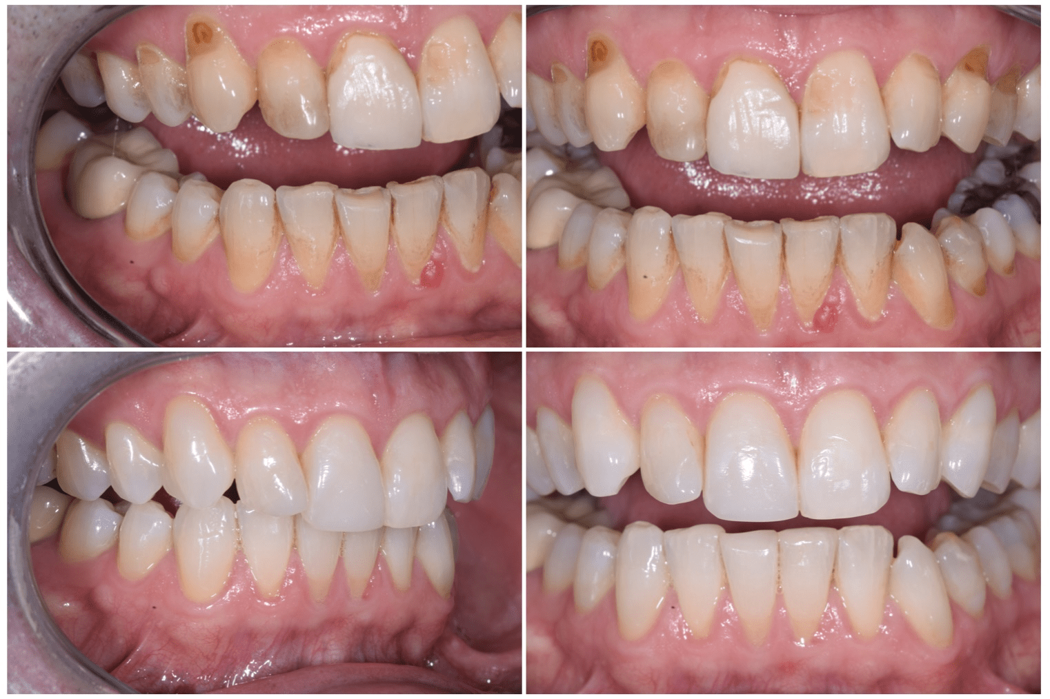
The problem many people face is that discolored teeth don’t happen overnight. They gradually turn yellow due to enamel erosion, staining, and weakened minerals inside the tooth surface. Seniors often notice it more sharply, as enamel naturally thins with age, making the dentin layer beneath more visible. The challenge is that professional whitening treatments can be costly, sometimes harsh, and not always suitable for sensitive teeth. Ignoring the issue may chip away at confidence, keeping you from smiling fully or laughing freely.
But here’s where it gets exciting: what if something as ordinary as an eggshell could be part of a natural whitening trick? Sounds unusual, right? That’s exactly why it’s worth exploring. Over the next few paragraphs, I’ll take you on a countdown journey revealing what may happen when you try this often-overlooked approach—saving the most intriguing benefit for the very end.

- Natural mineral content. Eggshells are rich in calcium carbonate, the same mineral found in your teeth. Some traditional remedies suggest that finely powdered eggshell may help gently polish the enamel surface, giving the appearance of cleaner, smoother teeth. Mini-hook: imagine your teeth getting a natural mineral boost from something you’d normally throw away.
- Gentle abrasion. Unlike harsh chemical whiteners, eggshell powder when mixed with a safe medium may create a mild scrubbing effect. This may help reduce surface stains from coffee or tea without being too abrasive. Mini-hook: what if your morning eggs could give you more than breakfast—they could polish your smile too?
- Neutralizing acidity. Many dental issues come from acidic foods and drinks wearing down enamel. Eggshell powder, being alkaline, may help neutralize these acids when used properly, protecting your teeth from further yellowing. This is an often-overlooked benefit that goes beyond whitening.
- Pairing with natural ingredients. Some DIY enthusiasts suggest combining eggshell powder with coconut oil or baking soda for a paste that can gently clean teeth. Coconut oil is known for its “oil pulling” tradition, while baking soda has been used for decades as a whitening aid. Together with eggshell, the combination may help refresh your mouth naturally.
- The most intriguing part: shine like pearls. Some claim that the combination of minerals in eggshells and the polishing effect can make teeth look glossy, much like pearls. While results may vary and research is limited, the idea that such a simple ingredient could enhance your smile’s natural brightness is both fascinating and worth cautious exploration.

So how do you safely try this at home? The solution is simpler than you might think. First, clean your eggshells thoroughly by boiling them in water for a few minutes. After drying, grind them into a fine powder using a coffee grinder. Mix a small pinch of this powder with a drop of coconut oil or water to form a paste. Gently brush your teeth with it for about two minutes, then rinse well. Always remember, consult a healthcare professional—especially your dentist—before making this a regular part of your routine, as enamel is delicate and you want to avoid any unnecessary damage.
By turning an everyday item into a natural experiment, you may discover an affordable way to support your oral hygiene. The process is not just about whitening—it’s about reconnecting with traditional, under-recognized practices that highlight how nature provides simple tools for well-being. For many people, the act of preparing a small DIY remedy also creates a sense of empowerment, knowing you can explore natural care alongside professional advice.

Now it’s your turn. Instead of tossing out those eggshells this week, why not save a few, grind them up, and try this gentle approach once? Observe how your teeth look and feel afterward. Does your smile seem fresher, your confidence a little stronger? Sometimes the most powerful changes start with the simplest steps.
This article is informational only and does not replace professional medical advice — recommend readers consult a qualified healthcare provider for personalized guidance.