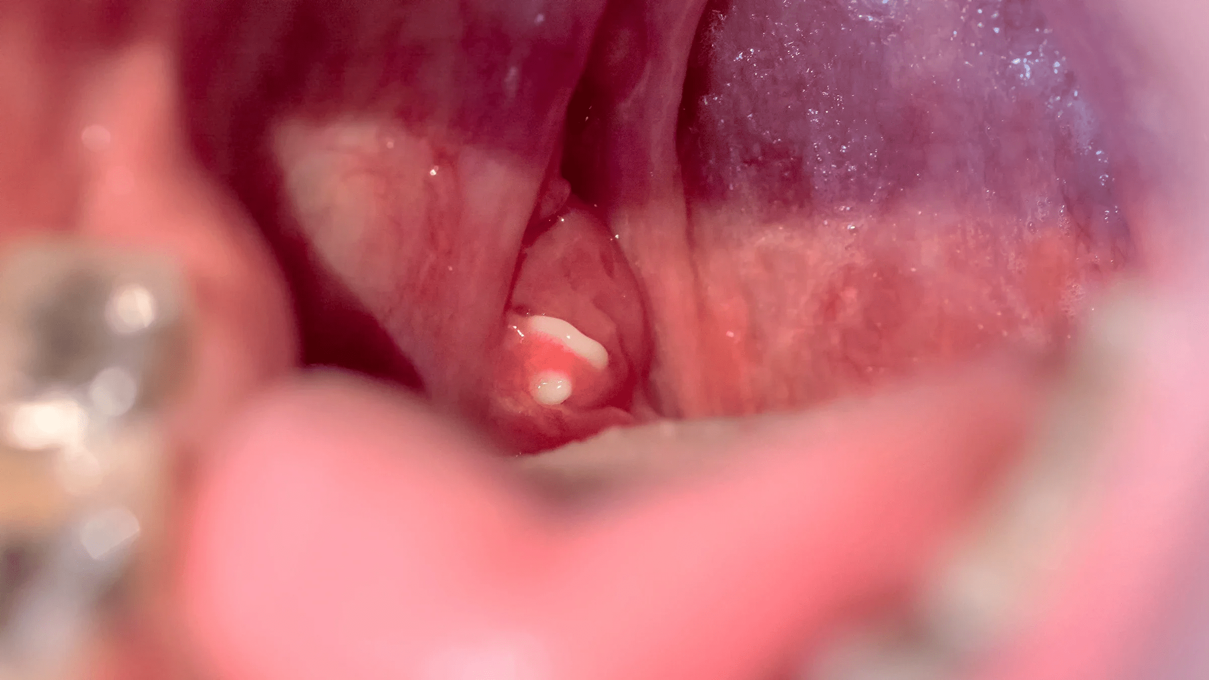
You’re brushing your teeth, humming a tune, when suddenly you catch that awful smell again — not from your breath, but from deep in your throat. Later, you look in the mirror and spot tiny white or yellowish lumps tucked into the back of your tonsils. You poke one gently, and it pops out, releasing a foul odor. Disgusting, right?

Those tiny intruders are called tonsil stones, or tonsilloliths. They’re not dangerous, but they’re embarrassing, uncomfortable, and often return no matter how much you brush or rinse. So what’s the deal with them — and how can you get rid of them fast, safely, and naturally?
Let’s uncover three surprisingly powerful home remedies that many people use to dissolve, dislodge, and prevent tonsil stones — using simple ingredients you likely already have in your kitchen.
The Hidden Truth About Tonsil Stones
Tonsil stones form when food particles, dead cells, and mucus get trapped in the tiny crevices of your tonsils (called crypts). Over time, this debris hardens due to bacterial activity, creating those white, smelly lumps.
While small stones may cause no pain, larger ones can lead to sore throats, bad breath, and even a “something stuck” feeling when you swallow. Some people mistake them for throat infections or even think they’re pieces of food that won’t go down.
But here’s the thing: you don’t always need medication or surgery. The right natural remedies can help loosen and dissolve stones — and prevent new ones from forming.
Ready to find out which ones actually work? Keep reading, because the second one might surprise you the most.
Why You Can’t Just Ignore Them
Ignoring tonsil stones doesn’t make them go away — they tend to grow and return. The longer they stay, the more bacteria thrive, worsening odor and irritation.
Research suggests that up to 10% of adults have tonsil stones at some point, but few know what causes them or how to prevent them. It’s not about poor hygiene — even people who brush twice a day can get them.
What matters most is targeting the cause: trapped debris, bacterial buildup, and dry oral tissue. That’s where these home remedies shine.
Case Study #1: Sarah, 41 — “I Couldn’t Stand the Smell Anymore”
Sarah used to wake up with a bad taste in her mouth every morning. “I brushed, I flossed, I even changed my toothpaste,” she said, “but the odor always came back.”
After reading about natural remedies, she tried a saltwater rinse daily and added a new step before bed. Within a week, she noticed fewer stones and fresher breath. “It wasn’t instant,” she admitted, “but after two weeks, they were gone — and haven’t come back.”
What did Sarah do differently? Let’s look at that first simple but powerful step.

1. Warm Salt Water Gargle – The Classic That Still Works
It might sound old-fashioned, but saltwater is one of the most effective and gentle ways to fight tonsil stones. Salt acts as a natural antibacterial agent and helps loosen debris from your tonsil crypts. The warmth soothes inflammation and draws out hidden buildup.
To make it: dissolve half a teaspoon of salt in a cup of warm water. Gargle for 30 seconds, focusing on the back of your throat, then spit it out.
Do this twice daily — morning and night — for several days. You may notice stones loosening or even coming out on their own. The best part? It also relieves mild sore throats.
But that’s just the beginning. Because the next remedy not only helps clear stones but also prevents them from forming again.
2. Apple Cider Vinegar – The Natural Dissolver
Here’s something most people overlook: apple cider vinegar (ACV) can help break down the calcium deposits that make tonsil stones hard and stubborn. Its mild acidity helps dissolve buildup and balance mouth bacteria.
Mix one tablespoon of apple cider vinegar in a cup of warm water. Gargle gently for 20–30 seconds, then rinse with plain water.
Some people even use a diluted version (1 teaspoon in a cup of water) as a mouth rinse after brushing. The result? Fresher breath and fewer visible stones over time.
The tangy smell may not be pleasant, but the relief it brings often surprises users within a week.
But hold on — there’s another home remedy that works even faster for some people, and it’s hiding right next to your toothbrush.
3. Oxygenated Mouthwash – The Hidden Hero
You’ve probably seen them — mouthwashes labeled “oxygenating” or “anti-sulfur.” These formulas contain chlorine dioxide or hydrogen peroxide, which release oxygen molecules that neutralize odor-causing bacteria.
This matters because tonsil stones thrive in low-oxygen environments. By using an oxygenated rinse, you make it harder for bacteria to survive — reducing both bad breath and stone buildup.
Swish for 30 seconds twice a day. The bubbles may tingle slightly, signaling it’s working to cleanse those deep tonsil pockets.
For an extra boost, you can alternate between saltwater gargles and oxygenated rinses.
Comparison of the Top 3 Remedies
| Remedy | How It Works | Best For | How Often to Use |
|---|---|---|---|
| Warm salt water | Loosens debris, kills bacteria | Daily maintenance | 2x per day |
| Apple cider vinegar | Breaks down stones, balances mouth pH | Active stones | 1–2x per day |
| Oxygenated mouthwash | Kills odor-causing bacteria | Preventing recurrence | Daily or alternating |
Simple, natural, and inexpensive — these are remedies you can start tonight.
But how exactly do they make such a difference so fast? Let’s look deeper into what happens inside your throat.
The Science Behind the Soothing
When you gargle with warm saltwater, the solution creates an osmotic effect — drawing fluid and debris out of inflamed tissues. That’s why it can help loosen stones and calm soreness.
Apple cider vinegar, on the other hand, introduces mild acidity that may dissolve the hardened material (often calcium-based). It also discourages bacterial growth — one of the main culprits behind the “rotten egg” smell.
Meanwhile, oxygenated rinses neutralize sulfur compounds — the gases that cause bad breath. Together, these steps attack tonsil stones from three angles: removal, breakdown, and prevention.

Case Study #2: Marcus, 35 — “It Was Like a Weight Off My Throat”
Marcus used to feel a constant pressure in his throat. “I thought it was allergies,” he said, “until a doctor showed me the tiny stones sitting in my tonsils.”
Instead of antibiotics, Marcus tried alternating saltwater and apple cider vinegar gargles for ten days. “By day five, I felt something small dislodge — and suddenly, that lump feeling was gone.”
He kept up a maintenance routine with oxygenated rinse and says his throat has “never felt cleaner.”
His story shows what consistency — not complexity — can do.
Safety and Usage Tips
| Step | Action | Precaution |
|---|---|---|
| 1 | Always dilute vinegar or mouthwash | Prevent throat irritation |
| 2 | Avoid swallowing | Gargle and spit only |
| 3 | Stay hydrated | Keeps mouth moist and reduces debris |
| 4 | Use soft lighting and a mirror if checking stones | Never poke aggressively |
| 5 | Seek professional help if pain or swelling worsens | Persistent stones may need removal |
These remedies are safe for most adults, but sensitive throats or children should stick to gentle saltwater rinses.
Addressing Common Doubts
You might be thinking, “Can home remedies really help? Shouldn’t I see a doctor?” The answer depends on severity. Small tonsil stones often respond well to home care, especially when paired with better oral hygiene.
Or maybe you’re wondering, “Will they come back?” Possibly — but with consistent rinsing and hydration, recurrence can be greatly reduced. Remember, prevention is about keeping your tonsil area clean and less hospitable to bacteria.
And if you’re worried about the smell, you’ll be glad to know these remedies tackle that too — often within a few days.
7 Extra Habits That Help Keep Tonsil Stones Away
- Stay hydrated — Dry mouth encourages bacterial growth.
- Brush your tongue — Bacteria hide there and travel to the throat.
- Avoid dairy before bed — It can thicken mucus and trap debris.
- Quit smoking — Tobacco irritates tonsils and feeds bacteria.
- Use a water flosser — Gently cleans tonsil crevices.
- Sleep with your mouth closed — Mouth breathing dries tissues.
- Gargle daily — Even after stones disappear, it keeps them from returning.

Your Simple Nightly Routine for a Fresher, Stone-Free Mouth
Before bed tonight, warm a cup of water, dissolve a little salt, and gargle slowly. Feel the gentle heat reach your throat. Then, rinse with oxygenated mouthwash for 20 seconds.
That’s it — two minutes to cleaner tonsils, fresher breath, and a lighter feeling when you swallow. Repeat daily, and you’ll soon notice less buildup and more comfort.
Tonsil stones may be stubborn, but with patience and consistency, your natural remedies can make them a thing of the past.
So, will you try it tonight? Your mirror — and your breath — will thank you tomorrow.
This article is for informational purposes only and should not replace professional medical advice. Always consult your healthcare provider for personalized guidance.